新闻中心
医院新闻
最新公告
视频新闻
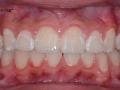
【健康科普】牙齿长“白斑”?蛀牙前的预警!
【医院文苑】医院里的温暖微光 记最美清洁阿姨肖玉珍
肠病患者动起来!别让肠子 “emo”,科学锻炼教你和炎症说拜拜~
绵阳市中心医院第三住院大楼建设项目室内环境检测服务成交结果公示
绵阳市中心医院 对部分医疗设备计量检测调研的公告
绵阳市中心医院 对GE彩色多普勒超声系统(E10)维修调研的公告
绵阳市中心医院 采购应急灯具市场调研公告
绵阳市中心医院第三住院大楼建设项目室内环境检测服务
绵阳市中心医院 电子科技大学医学院附属绵阳医院2025年第二批次院内技(药)师规范化 培训学员招收简章
绵阳市中心医院 电子科技大学医学院附属绵阳医院2025年第二批次院内技(药)师规范化 培训学员招收简章
加载更多
共1144页
上一页
1
...
66
67
68
69
70
71
72
...
1144
下一页
跳转