新闻中心
医院新闻
最新公告
视频新闻
【医院动态】阿坝州政协副主席洪秀英一行来院调研区域医疗中心建设
【活动预告】“中国器官捐献日”公益宣传活动邀您来参加
【健康科普】2025高考倒计时,近视考生摘镜指南请查收!
【芒种养生】顺应湿热,调护身心
绵阳日报专题报道我院全科医学科获批四川省临床重点专科
【医德医风】百岁挑战 再创奇迹 我院成功为百岁老人实施高风险髋部骨折手术
【健康科普】眼睛的“感光芯片”老化了怎么办?
【健康科普】小儿多汗怎么办,医生帮您解答
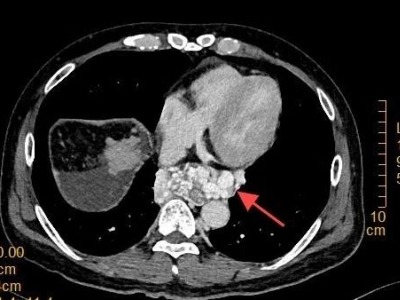
【特色医疗】“翻修两条路,搭起一座桥” 市中心医院成功救治复杂门静脉病变患者
市中心医院提供多途径自助打印报告,老乡们不要跑错地方了
加载更多
共1144页
上一页
1
...
61
62
63
64
65
66
67
...
1144
下一页
跳转